武汉白癫丰环亚?脸上长了一些小雀斑兴许是日晒造成的,脸上有了黄褐斑大多数是因为上了年纪内分泌紊乱造成的。武汉环亚白癜风医院表示可是当我们的脸上出现一块块的白斑是怎么回事呢?然而,很多人对白癜风的症状不是太了解,很多皮肤疾病,从外在表现上来看很容易出现相互混淆的情况。而且脸上起白斑很容易让患者误以为是普通疾病不上心。

脸上长的白斑是什么
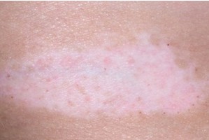
白斑症状的发生看似毫无眉目,但其实都是事出有因的。脸上的白斑要是由于疾病招致,那麽我们首先应该对病症是什么疾病造成得进行一个区分。在白癜风发病初期,主要症状表现为,在皮肤部位会出现一些小白的点点,有乳白色和瓷白色,它的表现和正常的皮肤有很大区别,有明显的界限,不痛不痒。但是光凭这些还不足以让我们科学辨别。
脸上长白癜风有什么危害
脸上的病症可不只仅是不美观这麽轻松的,它对我们的危害还远不止与此。很多时分它不只是给我们带来了身体上的影响,还招致了心思上的损伤。白癜风容易遭到其他人的误解和指指点点,甚至影响到患者的工作,长期以往给大家造成心理压力。除此之外白癜风还有一系列的并发症,我们遭遇种疾病已经是苦不堪言,要是还要受到这些多种问题的困扰那么就更难受了。
治疗面部白癜风的办法
既然这种的病症那麽讨人厌,不将它铲除,患者一直心忧不安。可是它毕竟属于顽疾范围,该用什麽办法还得停止更多的思索。以个体差异化诊疗为核心理念,针对患者个人的不同病情、不同肤质等多源因素制定个体差异化的治疗方案,有效提高了治疗水平。
武汉白癫丰环亚?面部的病症我们应当在发现的第一时间就采取应对措施,武汉环亚白癜风医院表示要是因为一时的犹豫不决,导致病情的严重,承担的后果是相当大的。
- 上一篇:武汉医院治白环亚出彩
- 下一篇:返回列表


面部白癜风
颈部白癜风
双手白癜风
双腿白癜风
腰部白癜风
胸部白癜风
背部白癜风
更多项目


扫一扫 关注我们